
Полная версия:
Кинезиологическое тейпирование. Атлас кинезиотейпинга
ГЛАВА 6. ПОКАЗАНИЯ К КИНЕЗИОТЕЙПИРОВАНИЮ
Кинезиотейпирование являясь терапевтическим методом, имеет свой определенный ряд показаний и противопоказаний. Что выгодно отличает кинезиологическое тейпирование так это отсутствие каких-либо серьезных побочных эффектов, что создает широкие возможности при применении тейпирования в спорте, в клинической практике, в том числе в педиатрии, в акушерстве и гинекологии, в онкологии, геронтологии и других профилях клинической медицины. Кинезиологическое тейпирование целесообразно применять и как самостоятельный метод, так и в сочетании с медикаментозным лечением, физиотерапией, мануальной терапией, иглорефлексотерапией, кинезиотерапией. С одной стороны кинезиотейпирование не противоречит перечисленным лечебным технологиям, с другой стороны может существенно потенцировать их положительные клинические эффекты. Важным свойством кинезиотейпирования является возможность применения данного метода совместно с водными процедурами – водолечением и гидрокинезиотерапией. Для достижения оптимального терапевтического эффекта и уменьшения риска возможных побочных эффектов процедуры кинезиологического тейпирования должны проводиться только подготовленным медицинским персоналом, прошедшим специальную подготовку и обучение по специализированным программам кинезиотейпирования.
Наиболее распространено кинезиологическое тейпирование в настоящее время в таких клинических специальностях, как лечебная физкультура, мануальная терапия, рефлексотерапия, физиотерапия, ортопедия и травматология, неврология, акушерство и гинекология, педиатрия и мн. др. Кинезиотейпирование, в совокупности с другими терапевтическими методами, существенно ускоряет и улучшает эффективность реабилитационного процесса у детей. Так, ребёнок приходит на занятие с уже заранее наложенными кинезиотейпами, которые помогают скорректировать положение связок, расслабить или стимулировать мышцы, что особенно важно при процедурах лечебной физкультуры и мануальной терапии. Именно поэтому детям становится намного легче заниматься лечебной физкультурой, а необходимые результаты достигаются гораздо быстрее, чем в случае использования стандартных методов лечения.
В педиатрической практике тейпирование является наиболее эффективным при различных патологиях и травмах опорно-двигательного аппарата; детском церебральном параличе (ДЦП); деформационных процессах в стопах и нижних конечностях; при рубцовых изменениях на кожном покрове; отёчности и лимфодеме. Прием лекарственных препаратов или использование лекарственных мазей может быть крайне нежелательным в отношении детей, а также вызывать с их стороны негативные эмоции. В случае с наложением кинезиотейпов все намного проще – аппликация кинезиотейпа не вызывает никакого дискомфорта у ребенка. Кроме того, производители тейпов выпускают продукцию разнообразных цветов и дизайнов, что так любят дети. Яркие цвета, которые имеют пластыри, могут являться дополнительным стимулом интереса ребенка, особенно, если умело превратить кинезиотейпирование в игру. Кинезиотейпирование совершенно безопасно для здоровья детей, так как тейпы не содержат никаких медицинских препаратов и гипоаллергенны.
К основным категориям показаний к применению кинезиологического тейпирования, как во взрослой, так и в детской клинической практике относятся:
1. Травмы и заболевания ортопедо-травматологического профиля, в том числе: искривление позвоночника (сколиоз, кифосколиоз и др.), периартриты, эпикондилиты, артрозы, плече-лопаточный периатрит, подвывихи и травмы мелких и крупных суставов, мышечные травмы, растяжения связок и мышц, остеохондропатии, состояния после оперативных вмешательств на суставах (в том числе состояния после остеосинтеза и эндопротезирования), плоскостопие, hallux valgus, деформация стоп, миофасциальные болевые синдромы и т.д.;
2. Поражения центральной и периферической нервной системы сопровождающиеся формированием параличей и парезов, в том числе состояние после ОНМК, черепно-мозговой травмы (ЧМТ) различной степени тяжести, явления ДЦП, состояния после перенесенных нейроинфекций;
3. Постинсультные состояния, осложненные сублюксацией (подвывихом) головки плечевой кости, постинсультной спастичностью, неглектом, таламическим болевым синдромом, контрактурами крупных и мелких мышечных групп;
4. Различные виды полинейропатий;
5. Демиелинизирующие заболевания центральной и периферической нервной систем;
6. Нервно-мышечные заболевания;
7. Нейродегенеративные заболевания;
8. Различные варианты миопатий;
9. Туннельные синдромы и компрессионно-ишемические невропатии, в том числе невропатия лицевого нерва;
10. Дегенеративно-дистрофические заболевания позвоночника, спондилогенные мышечно-тонические синдромы;
11. Болевые синдромы различного генеза и локализации (головные боли, лицевая боль, нейропатическая боль, суставные и мышечные боли и т.д.);
12. Соединительно-тканные дисплазии;
13. Закрытые травмы мягких тканей, гематомы и отеки различного происхождения;
14. Варикозная болезнь вен нижних конечностей, локальные нарушения венозного и лимфооттока, в том числе развивающиеся после оперативных вмешательств;
15. Грыжи передней брюшной стенки и состояния после оперативного вмешательства на них;
16. Гинекология (болевые синдромы в области малого таза, менструальные боли и др. показания по согласованию с гинекологом);
17. Беременность при необходимости дополнительной поддержки мышц и стабилизации пояснично-крестцового отдела позвоночника;
18. Состояния после оперативного лечения в онкологии и в составе комплексной паллиативной поддержки пациентов с онкологическими заболеваниями;
19. Заболевания бронхолегочной системы (в том числе бронхиальная астма, хроническая обструктивная болезнь легких, поллинозы и др.);
20. Профилактика спортивного и профессионального травматизма, повышение выносливости мышц и суставов;
21. Косметология и состояния после пластических операций, рубцовые изменения кожи после травм, ранений, ожогов и хирургических вмешательств.
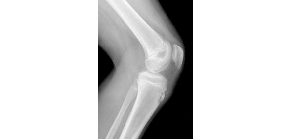
Одним из заболеваний, при которых рекомендовано применение кинезиологического тейпирования является болезнь Осгуда—Шлаттера. Данное заболевание относится к категории остеохондропатий и проявляется в виде формирования остеохондропатии бугристости большеберцовой кости. Болезнь Осгуда-Шлаттера развивается преимущественно у молодых лиц в возрасте от начала периода полового созревания до 18 лет. Риск развития болезни у мужчин значительно выше. Что является немаловажным фактом это патогенез формирования остеохондропатии бугристости большеберцовой кости, который во многом связан с физическими нагрузками и профессиональным занятием спортом.
Рисунок 15. Рентгенологические признаки болезни Осгуда-Шлаттера
Наиболее подвержены развитию данного заболевания лица, занимающиеся такими видами спорта, как футбол, гандбол, баскетбол, хоккей, волейбол, легкая и тяжелая атлетика, горные лыжи, большой теннис, дзюдо, самбо, керлинг, кикбоксинг, балет, ирландские танцы, бальные танцы и др. Клиническая картина болезни Осгуда—Шлаттера представлена болями, возникающими при сильном разгибании или крайнем сгибании в коленном суставе. В дальнейшем это приводит к формированию ограниченной, плотной, резко болезненной при пальпации припухлости большеберцового бугра. Данные изменения обусловлены выраженными или даже чрезмерными спортивными нагрузками на сухожилие четырехглавой мышцы бедра, прикрепляющееся к бугристости большеберцовой кости (рис. 15, 16). На фоне ускоренного темпа роста в подростковом возрасте, систематические нагрузки на четырёхглавую мышцу, приводят к давлению на незрелую бугристость большеберцовой кости, и могут спровоцировать подострый отрывной перелом последней в сочетании с развитием тендинита. В дальнейшем это приводит к формированию патологических костных разрастаний, болезненных при резких движениях. При опоре на колено боль может давать иррадиацию по ходу сухожилия.
Рисунок 16. Внешние признаки болезни Осгуда-Шлаттера
Болезнь Осгуда-Шлаттера требует комплексного подхода к лечению, помимо стандартной медикаментозной терапии (нестероидные противовоспалительные препараты, хондропротекторы и др.) важное значение имеют процедуры физиотерапии, лечебной физкультуры и кинезиологичекого тейпирования.
Кинезиологическое тейпирование при данной патологии обладает рядом положительных эффектов – уменьшает нагрузку на сухожилие четырехглавой мышцы бедра, снижает давление на бугор большеберцовой кости, снимает отек и воспаление, уменьшает болевые ощущения, при этом сохраняя физиологический объем движений в коленном суставе. Методика тейпироввания при болезни Осгуда-Шлаттера весьма проста и занимает немного времени. Вначале необходимо сложить ленту кинезиотейпа пополам и закруглить специальными ножницами острые углы на сложенной стороне. Закругление угловых концов тейпа производится с целью более плотной фиксации его на кожном покрове, так как остающиеся острые углы могут способствовать его частичному отклеиванию и уменьшать терапевтический эффект.
Рисунок 17. Специальные ножницы для изготовления аппликации кинезиотейпа
Профессиональные ножницы, которые используются для подготовки аппликации кинезиотейпа, как правило изготовлены из нержавеющей стали и имеют тефлоновое покрытие, благодаря чему такие ножницы могут нарезать одновременно несколько слоев кинезиотейпа не вызывая замятия краев тейпа, а также не оставляют на лезвиях следов клейкого слоя (рис. 17). Применение таких ножниц значительно ускоряет и облегчает работу с кинезиотейпом, повышая качество изготовленной аппликации, и создавая все необходимые условия для дальнейшего качественного ее применения.
Рисунок 18. Аппликация кинезиотейпа
Далее мы просим пациента согнуть коленный сустав под углом 90. Используя первую половину кинезиотейпа необходимо надорвать слой вощеной бумаги с обратной стороны тейпа, не прикасаясь к клейкой стороне. Среднюю часть тейпа мы наклеиваем под надколенником (коленной чашечкой) достигая 75%-ного натяжения по диагонали в области болевого ощущения (рис. 18). Боковые концы кинезиотейпа накладываются с нулевым натяжением (рис. 19). о
Две другие полоски кинезиотейпа мы наклеиваем перпендикулярно по отношению к первой аппликации и крест-накрест с пересечением полос под надколенником, таким образом, чтобы зона перекреста приходилась на нижнюю треть полос, а большая часть тейпа наклеивалась вдоль бедра параллельно друг другу. Натяжение при наклеивании второй и третьей полосок тейпа создается лишь в зоне перекреста, для обеспечения в последующем большего объема движения, остальная часть тейпа клеиться с нулевым натяжением (рис. 20). Такая аппликация создает хорошие условия для фиксации надколенника и уменьшения напряжения передающегося с четырехглавой мышцы бедра, зона перекрестья трех полос тейпа – зона с максимальным мягким противоотечным эффектом.
Рисунок 19. Кинезиотейпирование коленного сустава, 1-й этап
Такая аппликация может быть наклеена на период от нескольких часов до 3—5 дней, сохраняя свой оптимальный терапевтический эффект и никак не препятствуя активности пациента или спортсмена. В случае изначально выраженного отека в области надколенника или бугра большеберцовой кости, такая методика кинезиотейпирования может быть неприемлема. Выраженный отек может привести к резкому ограничению подвижности в коленном суставе и последующему нарастанию отека. В таких случаях на начальном этапе выполняют противоотечную методику тейпирования, используя аппликацию – «паутинка» (рис. 21, 22).
Рисунок 20. A – Кинезиотейпирование коленного сустава 2-й этап, B – Кинезиотейпирование коленного сустава 3-й этап и вид законченной аппликации
Другим заболеванием ортопедо-травматологического профиля, при котором кинезиологическое тейпирование весьма эффективно сочетается с реабилитационными технологиями является болезнь Кенига.
Болезнь Кенига или рассекающий остехондрит – заболевание относящиеся группе остеохондропатий и характеризующееся ограниченным субхондральным некрозом суставной поверхности кости с образованием костно-хрящевого фрагмента и его последующей миграцией в полость сустава.
Рисунок 21. Заготовка для варианта аппликации «веер»
Термин рассекающий остеохондрит впервые был введен в медицинскую терминологию Franz Koenig в 1887 году. Частота встречаемости болезни Кенига составляет около 20 случаев на 100000 населения, при этом средний возраст заболевших составляет 10—20 лет. В 85% случаев при болезни Кенига поражается медиальный надмыщелок бедренной кости.
Рисунок 22. A-Противоотечная методика кинезиотейпирования коленного сустава, 1 этап; B-Противоотечная методика кинезиотейпирования коленного сустава, 2 этап
В течение болезни Кенига выделяют четыре стадии:
1 стадия – размягчение в зоне поражения участка суставного хряща;
2 стадия – появление отчетливых границ патологически измененного хряща, но сам хрящ остается неподвижным (рис. 23);
3 стадия – происходит неполное отслоение хряща с элементами его «флотирования»;
4 стадия – фрагмент хряща с участком субхондральной кости полностью отслаивается и свободно перемещается в полости сустава.
Рисунок 23. Рентгенограмма коленных суставов при болезни Кенига. Рентгенологическая картина субхондрального склероза
Клинические проявление болезни Кенига зависят от ее стадии и распространенности процесса. На ранних стадиях заболевания возникает тупая, ноющая боль, усиливающаяся при нагрузке и движениях. В дальнейшем развивается синовиит (рис. 24). Если при болезни Кенига поражается надколенник, то боль преимущественно локализуется в переднем отделе коленного сустава, под надколенником (коленной чашечкой).
Рисунок 24. Синовиит правого коленного сустава при болезни Кенига с преимущественной зоной выпота в надколенниковой сумке (верхнем завороте надколенного сустава)
У пациентов страдающих болезнью Кенига изменяется физиологический паттерн ходьбы, так как пациенты при ходьбе стараются разворачивать ногу наружу: в таком случае нагрузка на внутреннюю часть сустава снижается. Этот характерный клинический признак называют симптомом Уилсона (Wilson), и он может встречаться на любой стадии заболевания.
При длительном течение заболевания в связи со снижением физиологической амплитуды движений в коленном суставе развивается атрофия четырехглавой мышцы бедра, что приводит к прогрессированию ортопедических проблем. Среди методов диагностики приоритетное значение имеют методы лучевой диагностики – рентген и магнитно-резонансная томография (МРТ) (рис. 25).
Тактика лечения при болезни Кенига определяется строго индивидуально и во многом зависит от возраста пациента и стадии заболевания. У молодых пациентов с незакрытыми зонами роста (обычно моложе 20 лет) практически в 50—60% случаев успешно консервативное т.е. безоперационное лечение. Его принцип состоит в том, чтобы дать покой суставу, что приводит к некоторому регрессу заболевания. ,
Рисунок 25. МР-картина структурных изменений мыщелка правой и левой бедренной кости, обусловленных инфарктом костного мозга при болезни Кенига
Консервативное лечение показано детям с открытыми зонами роста и неподвижным костно-хрящевым фрагментом. Цель консервативного лечения состоит в том, чтобы добиться заживления до закрытия эпифизарной зоны роста, предупредив тем самым деформирующий остеоартроз. Консервативное лечение также оправданно в случаях, если с момента закрытия эпифизарных зон роста прошло не более 6—12 мес. Поскольку дефект субхондральной кости влечет за собой разрушение суставного хряща, большинство специалистов рекомендуют ограничение активности. Однако, нет единого мнения, нужна ли при этом иммобилизация (обездвиживание) с помощью гипсовой повязки или ортеза. Существуют и специальные ортезы, разгружающие внутренний отдел сустава, где чаще локализуется болезнь Кенига.
Принцип консервативного лечения сводится к тому, чтобы сохранить такой уровень повседневной активности, который не вызывает боли. Необходимо, по крайней мере, исключить или уменьшить (с помощью костылей) нагрузку на ноги в течение 3—6 недель или до исчезновения боли. Примерно с интервалом 6 недель повторяют рентгенологическое исследование. Если нет боли, можно приступить к лечебной физкультуре, для начала – к легким упражнениям для четырехглавой мышцы бедра и задней группы мышц бедра. Если в течение этого периода (не менее 3 месяцев с момента постановки диагноза) симптомы не возобновляются, можно вводить более высокие нагрузки, например бег или прыжки. Появление малейших симптомов или боли, либо малейшее прогрессирование рассекающего остеохондрита по данным рентгенографии служит сигналом, что необходимо вновь исключить нагрузку на нижние конечности, и уже на более длительный период.
С учетом основных принципов консервативного лечения при болезни Кенига весьма выгодными терапевтическим свойствами будет обладать именно кинезиологическое тейпирование. В данном случае следует использовать последовательные комбинированные техники кинезиологического тейпирования. В начале используют техники противоотечных аппликаций кинезиотейпа для максимального уменьшения отечности пораженного сустава или окружающих его мягких тканей, а также связочно-мышечного аппарата.
В дальнейшем по мере регресса отека можно применять методики механической коррекции, при которых кинезиотейп будет выполнять функцию мягкого ортеза. В данной ситуации техника тейпирования не будет принципиально отличаться от методики тейпирования коленного сустава при болезни Осгуда-Шлаттера. Важным нюансом тейпирования при болезни Кенига будет являться тейпирование четырехглавой мышцы бедра, а также рассмотрение вопроса относительно целесообразности тейпирования области голени, голеностопного сустава и стоп, так как они могут быть в разной степени вовлечены в патологический синдромокомплекс нарушения физиологического паттерна движения у пациента с данным заболеванием.
При окончании этапа лечения предполагающего существенное уменьшение нагрузки на нижние конечности целесообразность кинезиотейпирования нисколько не уменьшиться. Во время расширения двигательного режима и назначения процедур кинезиотерапии тейпирование позволит смягчить возможные нежелательные и патологические нагрузки на сустав, повысить толерантность к нагрузкам мышечного и связочного аппарата, что создаст более благоприятные условия для реабилитации пациента, сделав процесс восстановительного лечения безопаснее и эффективней.
Специальное исследование, проводившееся у пациентов с последствиями позвоночно-спинномозговой травмы и частичным повреждением спинного мозга, показало, что краткосрочное применение кинезиологического тейпирования, может позволить снизить спастичность и боль, а также улучшает баланс равновесия и походку у пациентов. Несмотря на то, что эластичный тейп увеличивает амплитуду движений, которые нарушаются при таких патологиях, как поражение вращательной манжеты плеча, кинезиотейп способен вызвать временное облегчение основных физиологических движений.
Рисунок 26. Комбинирование кинезиотейпирования шейно-грудного отдела позвоночника и локальной криотерапии
При использовании кинезиологического тейпирования важное значение имеет последовательность применения различных техник и эффективное их комбинирование. Например, при острых травмах в первые 72 часа клиническая картина во многом обусловлена отеком. Отек провоцирует боль, нарушает микроциркуляцию и препятствует регенеративным процессам. Поэтому в острую стадию травмы обычно используют техники лимфотейпинга, направленные на облегчение оттока экссудата из зоны воспаления, что приводит к улучшению микроциркуляции, а, следовательно, и уменьшению болевых ощущений.
В подострую стадию травмы по мере уменьшения отечного синдрома на первый план выходят задачи по адаптации биомеханики поврежденной области или сегмента конечности. С этой целью используют коррекционные методики, такие как механическая, фасциальная, проприоцептивная и другие. Кроме того коррекционные методики можно дополнять элементами лимфотейпинга, препятствуя риску возникновения отека на фоне расширения общей двигательной активности и использования специальных упражнений лечебной физкультуры.
Одно из наиболее выгодных терапевтических свойств кинезиотейпирования это способность существенно потенцировать эффекты основной терапии и других средств лечения, в том числе немедикаментозных, таких как криотерапия, гидротерапия, массаж и электростимуляция и мн. другие. Для специалиста практической медицины, вне зависимости от профессии (терапевт, хирург, мануальный терапевт, травматолог, акушер-гинеколог и т.д.) важно понимание, что технология кинезиологического тейпирования – это вспомогательный элемент комплексной терапии основного заболевания, а также метод коррекции возможной сопутствующей патологии. Задачей кинезиологического тейпирования является, прежде всего, улучшение качества жизни пациента, адаптация к двигательному режиму, обезболивающий и противоотечные эффект. Что немаловажно все эти эффекты достигаются при отсутствии каких-либо абсолютных противопоказаний и в гармоничном сочетании кинезиотейпинга с методами медикаментозного, хирургического, физиотерапевтического (рис. 26) и других видов лечения.












ГЛАВА 7. ПРОТИВОПОКАЗАНИЯ К КИНЕЗИОТЕЙПИРОВАНИЮ
Разумеется, как и любой другой медицинский метод, кинезиологическое тейпирование и кросс-тейпинг имеют ряд противопоказаний и определенный перечень состояний, при которых их применение ограничено, либо нежелательно. Следует подчеркнуть, что при широких терапевтических возможностях метода кинезиологического тейпирования и весьма внушительном списке показаний к его применению, количество клинически значимых противопоказаний относительно невелико. Однако, следует заметить, что перечень противопоказаний к кинезиотейпированию слегка расширился за последние несколько лет, что несомненно связано с более широким внедрением данной технологии в клиническую практику, и возрастающим количеством проводимых исследований по этому вопросу.
Итак, к противопоказаниям к кинезиологическому тейпированию на сегодняшний день относятся следующие состояния:
1. Аллергические реакции на акрил и индивидуальная непереносимость компонентов кинезиотейпа;
2. Заболевания кожи (дерматиты, экземы), в том числе онкологические заболевания кожи;
3. Ксеродерма или пергаментная кожа (прогрессирующий меланоз Пика) – редкое наследственное заболевание кожи, проявляющееся повышенной чувствительностью к ультрафиолетовому облучению;
4. Открытые раны или трофические язвы в месте аппликации, в том числе диабетические язвы, пролежни I—IV стадий;
5. Первый триместр беременности;
6. Пожилой возраст пациента с чувствительной кожей либо трофическими изменениями кожных покровов (например, элементы липоидного некробиоза у пациентов с сахарным диабетом) (рис. 27);
7. Склонность к образованию волдырей, микротравм, спонтанных гематом, геморрагий;
8. Тромбоз глубоких вен нижних конечностей.
Разбирая по отдельности каждое из противопоказаний, следует заметить, что аллергические реакции на элементы кинезиотейпа или непосредственно на акрил на практике встречаются крайне редко. Иногда можно столкнуться с местными реакциями раздражения кожи в области наложения кинезиотейпа, что, как правило, связано с дефектами, допущенными при выполнении аппликации. Раздражение кожи может происходить из-за: 1. механических ошибок при наклеивании – неправильная степень натяжения тейпа, избыточная нагрузка на тейп, кожная складка под тейпом; 2. параллельное использование некоторых лекарственных препаратов (например, антиагрегантов, антикоагулянтов, цитостатиков и др.); 3. некорректное удаление кинезиотейпа с поверхности кожи; 4. нанесение кинезиотейпа на измененные кожные покровы (открытые раны, воспаленные волосяные фолликулы, дерматит, экзема и др.). 5. нанесение тейпа на загрязненные кожные покровы, на кожные покровы обработанные мазью, кремом и т. д. Следует помнить, что кинезитейп не является стерильным, в связи с чем не может быть нанесен на поврежденную кожу, либо в непосредственной близости к участках раневых изменений.



