
Полная версия:
Улыбка человека – критерии, индексы. Рекомендации для врачей

Улыбка человека – критерии, индексы
Рекомендации для врачей
Г. М. Флейшер
© Г. М. Флейшер, 2019
ISBN 978-5-4496-9060-9
Создано в интеллектуальной издательской системе Ridero
Об авторе

Флейшер Григорий Михайлович (Dr Grigori Fleicher) родился 11 января 1970 года в Перми.
Лето 1977—1978 гг. – школа юнг, Краснознаменный Черноморский Флот СССР (г. Одесса).
В 1980 г. награждён именной настольной медалью и кортиком-ручкой.
В 1987 г. – окончил школу №77 с углублённым изучением английского языка, г. Пермь.
1988—1993 гг. – учился на стоматологическом факультете Пермского государственного медицинского института.
1995—1996 гг. – член Международной ассоциации молодых стоматологов (Young Dentists Worldwide, YDW).
1995—1996 гг. – член Международной ассоциации стоматологов (FDI World Dental Federation).
С 1997 г. по н. в. – действительный член Международной академии пародонтологии (International Academy of Periodontology, IAP, New-York).
С 1997 г. по н. в. – член Стоматологической ассоциации России (СтАР).
В 2001 году была совместно написана и опубликована работа с проф. Г. А. Пашинян (г. Москва). Д-р Г. М. Флейшер является учеником профессоров А. В. Алимского и Г. В. Банченко (ФГБУ «ЦНИИС и ЧЛХ» МЗ РФ, г. Москва). Совместно были написаны и опубликованы в различных медицинских изданиях работы, посвященных изучению заболеваний слизистой оболочки полости рта, гальванозу, гигиенистам стоматологическим и детской стоматологии.
Впервые в России с 1999 по 2010 гг на базе Стоматологического центра КМСЧ ОАО НЛМК Д-р Г. М. Флейшер на общественных началах организовал кабинет профилактики стоматологических заболеваний, в котором находилась Выставка средств гигиены полости рта. Целью создания кабинета была пропаганда и программа обучения правильной чистке зубов, языка, выполнение гигиенических манипуляций, выбор необходимой зубной пасты, щетки, ополаскивателя и т. д., обучение пациентов рациональному использованию средств и методов ухода за зубами, пропаганда здорового образа жизни и т. п. Также на базе кабинета проходили обучение и стажировку студенты (гигиенисты стоматологические) Липецкого медицинского колледжа. Д-р Г. М. Флейшер проводил тематические уроки среди школьников в школах г. Липецка, выступал на Липецком радио, телевидении.
В 2006 г за проделанную работу был награжден Дипломом Стоматологической Ассоциации России «Лауреат финала Чемпионата стоматологического мастерства в номинации Профилактика cтоматологических заболеваний».
Область научных интересов: судебная медицина, стоматология (история, развитие, организация, управление стоматологии, пародонтология, детская стоматология, ортопедическая стоматология, имплантология, ортодонтия).
Действительный член IAP, писатель, поэт, двукратный рекордсмен мировой Книги рекордов Гиннеса, четырехкратный рекордсмен Книги рекордов России. Результаты многолетних исследований обощены в 70 монографиях и более 250 научных публикаций, среди них серия книг для детей «Дентилюкс». Здоровые зубы – залог здоровья нации», направлена для пропаганды, коррекции навыков и обучению авторской методики подрастающего поколения правилам рационального индивидуального ухода за полостью рта.
С 1993 г. по н.в. проживает в Липецке и работает врачом-стоматологом (работал – врачом-судебно-медицинским экспертом-стоматологом в Липецком областном бюро судебно-медицинской экспертизы, преподавателем – учебный центр КМСЧ ОАО НЛМК, Липецкий медицинский колледж). Липецкий стоматолог Д-р Г. М. Флейшер в 2008 г попал на страницы всемирно известного издания как обладатель самой большой в мире коллекции зубных щеток. Коллекция насчитывала тогда 1320 различных единиц. Коллекция предметов для гигиены полости рта насчитывала – более 3000 единиц. Сейчас она значительно выросла. Помимо зубных щеток в коллекции Д-ра Г. М. Флейшер – зубные пасты, спреи, ополаскиватели, зубочистки и другие средства гигиены полости рта, всего – свыше 4500 экземпляров
Четырехкратный рекордсмен Книги рекордов России:
– Самая большая коллекция различных зубных щеток.
– Наибольшее количество книг, изданных одним автором за 3 месяца в одном книжном издательстве.
– Наибольшее количество книг, изданных одним автором за 1 год.
– Наибольшее количество книг, изданных одним автором за 1 месяц.
Дети: дочь Кристина (19.04.1994).
С 2017 г публикует свои стихотворения для детей в изданиях Интернационального союза писателей.
2017 г. – диплом за вклад в современную поэзию (Интернациональный Союз писателей).
2018 г. – диплом номинанта литературной премии Гомера (Интернациональный Союз писателей).
В 2019 г координатор Интернационального Союза писателей прислал приглашение Флейшер Г. М. стать делегатом ИСП и представить одно из своих стихотворений для детей на 19 Всероссийской литературной конференции «РосКон». По итогам данной конференции Флейшер Г. М. был награжден следующими дипломами:
– полуфиналист литературной премии «рыцарь фантастики и детской литературы»,
– финалист литературной премии им. Белинского.
Введение
Улыбка – это особый вид экспрессивного состояния лица, который заключается в мимических движениях губ, глаз, лица с выраженной демонстрацией эмоций.
С учетом анализа, который будет охватывать максимальное количество факторов современное определение эстетичности улыбки выглядит следующим образом: гармоничная улыбка – это улыбка, которая обладает следующими характеристиками: линия верхней губы с прямыми или направленными вверх изгибом, доходящим до края десны; линия, проведенная через режущие края резцов и клыков верхнего зубного ряда, повторяет линию изгиба нижней губы; параллельность линий, которые проведены через уголки рта, окклюзионную фронтальную плоскость и линию, соединяющую зрачки; минимальными щечными коридорами или их отсутствием; гармоничными зубными и десневыми параметрами; симметричностью.
Специалисты отмечают, что сегодняшний день существуют две большие группы факторов, влияющих на красоту улыбки: факторы микроэстетики (цвет зубов, пропорциональность их размеров, их положение, величина амбразур, гингивальные признаки); факторы макроэстетики (тип улыбки, пропорциональность и полнота улыбки, положение фронтальнойгруппы зубов на верхней челюсти по отношению к нижней губе).
Твердотканные структуры, в первую очередь это зубы, играют первостепенную роль в красоте лица и улыбки. Даже когда губы находятся в сомкнутом состоянии – зубы всегда являются опорой для губ. От вида прикуса и положения зубов зависит профиль лица, тонус губ и другие особенности. При динамическом состоянии лица значимость зубов возрастает: во время открытой улыбки, разговора, смеха. Oбнажаясь, зубы и зубные ряды свoими параметрами фoрмируют гармонию лица, которая дoпoлняет лицевую эстетику, либо разрушает ее.
Красоту улыбки формируют цвет зубов, их форма, размеры, вертикальное, сагиттальное и трансверсальное положение, целостность поверхности, рельеф, контактирование с рядом стоящими зубами относительно красной каймы губ и других частей лица, сочетание формы зубов с овалом лица, пропорциональное соотношение между собой, частями лица и всем лицом в целом. По словам Touati фронтальные зубы играют свою специфическую роль в эстетике улыбки, как предположил Touati.
Центральные резцы обеспечивают баланс и стабильность улыбки, латеральные резцы – шарм, а клыки вносят прочность и силу в зону эстетики. Соотношения зубных и десневых параметров идеальной улыбки изучал Towsend. Он обозначил следующие эстетические параметры: центральные резцы и клыки должны иметь одинаковую длину, а боковые резцы – должны быть короче на 1—2 мм. Длина межзубного сосочка должна быть 4.5—5 мм от самой глубокой точки альвеолярной десны до вершины. В качестве эталона эстетической нормы Towsend предложил определенные значения длины коронок зубов (их средние показатели), которые видны при улыбке: центральные резцы – 13.5 мм, боковые резцы – 12.0 мм, 13.0 мм – клыки. В некоторых работах McGuire проведен антропометрический анализ возможных эстетических отклонений, связанных с зубами, и выявлены средние значения эстетических параметров фронтальной группы зубов: длина центральных резцов – 11—13 мм, длина боковых резцов – 10 мм и длина клыков – 11—13 мм. Эталоны размеров зубов рассчитывались многими учеными, но у пациентов выявлялись отклонения от этих эталонных значений в процессе лечебной работы. Изучением анатомии зубов на удаленных биопрепаратах фронтальных зубов занимался Wheeler, но он не учитывал длину зубодесневого прикрепления и дал лишь предположительную объективную оценку их размеров. Во многих исследованиях на эту тему не учитывается возраст и гендерный признак. При этом известно, что необходимо учитывать расовую принадлежность пациента и его возраст при оценке любых антропометрических показателей. Отечественные ученые так же проводили исследования на тему дентальных параметров фронтальных зубов, их показатели несколько ниже зарубежных эталонов. В. Д. Устименко вычислил, что идеальная длина центральных резцов 8.9 мм, боковых резцов 7.8 мм и клыков – 8.9 мм. Показатели оптимальной ширины центральных резцов, составляет, в среднем 8.5 мм, боковых резцов – 6.5мм и клыков – 7.6 мм.
Oкружающие зуб, здоровые части десны являются неотъемлемой частью эстетики улыбки и лица (это называется эстетика «белого и красного»).
5 идеальных эстетических параметров контура десны выделил Allein в 1988 году. R. Goodlin также подтвердил эти «идеалы» эстетики десневого комплекса, и утверждал, что десневой контур и десна, как единые и важнейшие составляющие улыбки, играют важную роль в создании, а также в разрушении эстетики.
Описывается существует особая эстетическая значимость отношений режущих краев резцов и клыков верхней челюсти к внутреннему контуру нижней губы. Это обозначается, как линия улыбки. Эти изгибы, в идеале должны быть друг другу параллельны. Реверсионная и прямая линия улыбки могут отразиться на лице пациента и сделать его менее привлекательным. Выраженной стираемостью верхних резцов часто ассоциируется с реверсионной кривой. У 84,8% обследуемых кривая верхнечелюстных резцов, как продемонстрировал М. Tjan, была параллельна внутреннему контуру нижней губы, у 1,32% пациентов наблюдалась реверсионная линия улыбки и у 13,88% имела незакругленный, более прямой контур.
С определением эстетики улыбки тесно связана ее стилистика и типология. При визуальной оценке дисплея улыбки у 454 студентов в возрасте от 20—30 лет, в зависимости от высоты линии М. Tjan и С. Miller выделили три основных типа улыбки:
– низкая,
– средняя,
– высокая.
С точки зрения эстетики высокая улыбка, она же десневая улыбка вызывает у стоматологов различных специальностей множество споров.
Большинство челюстно-лицевых хирургов и ортодонтов считают данный тип улыбки не эстетичным. К. Peck и М. Peck писали в своих работах: «Мы, ортодонты, склонны забывать, что лицевая эстетика – это предмет, который интересует всех и везде, и первостепенным источником эстетических значений должны служить обыкновенные люди, а не только мы». Когда R. Kokich и соaвторы изучали женские улыбки, то обнаружили, что для пациентов (не являющимися в данной области специалистами), оставалось незамеченным обнажение десневого края до 3 мм. А вот обнажение на 4 мм и более, обозначалось, как эстетически неблагоприятный эффект.
Известный факт, что «закрытие» губой резцов имеет тенденцию с возрастом увеличиваться. По этой причине процент высоких улыбок у более взрослых пациентов ниже, а у более молодых пациентов он выше.
Изучением эстетических параметров мягких тканей лица при улыбке у лиц русской национальности так же занимались ученые и было, что цервикальное положение губ при улыбке имеют 37% (чаще в 30% у лиц мужского пола и в 44% у лиц женского пола до 17 лет); десневое (разновидности десневой улыбки) в 17% (12% девушек и 22 юношей), разновидности средне-низкого типа по M. Tjan (резцовое) в у 46%, в т.ч. 44% девушек и 48% юношей. У лиц монголоидной расы также выявлены типы улыбок, определяющие этнические особенности – это превалирование цервикального и десневого типов улыбки.
С эстетической позиций необходимо исследовать не только тип улыбки, но и ее стиль. Можно рассматривать стиль улыбки относительно эмоционального проявления и морфологии по трем базовым «направлениям»:
– клыковому (31%),
– комиссуральному (67%),
– смешанному (2%).
Учеными было доказано, что существуют гендерные различия в типах улыбки: у мужчин преобладает низкий (28%) и средний (61%) типы улыбок, у женщин же чаще в 12,0% выявляются высокий и в 73% средний тип улыбок. В отдельных случаях с годами улыбка «садится», с возрастом также может изменяться и ее тип.
С точки зрения анатомии и физиологии улыбка формируется на двух этaпах. Нa первом – вследствие напряжения мышцы, которая поднимает верхнюю губу, произойдет поднятие ее к супраментальным складкам.
На втором этапе – включаются в работу еще три группы мышц: большие скуловые мышцы, растягивающие ротовую щель; поверхностные волокна щечных мышц; мышцы, поднимающие верхнюю губу и крылья носа. «Работа» мышцы, поднимающей верхнюю губу, продолжается. На последнем этапе улыбки круговой мышце глаза часто проходит сужение глазных щелей.
С эстетической точки зрения широтные параметры улыбки также считаются значимыми. Принято рассматривать эти характеристики в отношении наличия/отсутствия щечных коридоров (негативных пространств) и их величин и ширины улыбки. Полнота улыбки – еще один компонент. Под ней понимается соотношение ширины между комиссурами и видимого зубного ряда верхней челюсти. На сегодняшний день выделяют три типа щечных коридоров: узкие средние и широкие. Узкие или средние щечные коридоры являются наиболее эстетичными.
Также, для гармоничности лица имеет значение ширина улыбки, то есть расстояние между углами рта в момент максимальной улыбки. В идеале по вертикали соотношение ширины между комиссурами рта и широты лица на уровне комиссур должно составлять 50:100:50. С возрастом, как было доказано, значение данного параметра практически не меняется.
Соблюдение пропорциональности улыбки, как соотношения между вертикальным размером от верхней до нижней губы и комиссурами рта при улыбке считается эстетически важным. Соотношение 5:1 является идеальным соотношением.
Еще один важный параметр гармоничной улыбки – симметричность.
Он оценивается с точки зрения отсутствия или наличия «смещения средних линий», несовпадения или совпадения центральных линий зубных дуг и центральной линий лица.
Глава 1. Анализ нижней трети лица
В этой главе обсуждается анализ нижней трети лица, включающей в себя губы и зубные ряды. Губы образуют подвижную раму, которая при разговоре и улыбке постоянно меняет форму, в разной степени обнажая зубы. Представленный в данной главе системный подход основан на учете точных анатомических параметров и позволяет провести полную оценку губ и зубных рядов для достижения эстетической интеграции реставраций.
1. Анализ положения губ и зубов
При изучении лица и, в частности его нижней трети, определяющим условием является естественное положение головы пациента.«Данный анализ необходим для оценки правильного соотношения между зубными рядами и губами при разговоре и улыбке.
Улыбка является одним из наиболее выразительных невербальных средств общения, она передает разнообразные эмоции от смущения до восторга.
Улыбка появляется в результате сокращения мышц не только губ, но и мышц, окружающих глаза. Естественная, непосредственная улыбка, выражающая удовольствие, появляется при сокращении особых мышц – скуловых и нижней части круговой мышцы глаз, которые одновременно сокращаясь, максимально поднимают верхнюю губу. Следует заметить, что если пациента специально просят улыбнуться, то такой сочетанной работы мышц не происходит. В этом случае круговая мышца глаз не сокращается, что приводит к неестественному выражению лица.
2. Движение губ
Наблюдение за губами позволяет оценить степень визуализации зубов при разговоре и улыбке.
Для анализа естественных движений губ необходимо пообщаться с пациентом на начальном, доклиническом этапе в неофициальной и расслабленной обстановке наблюдая за движениями губ во время дружеского, непринужденного разговора
Если пациента, находящегося в стоматологическом кресле, как уже было сказано, попросят улыбнуться, возникает искаженная улыбка из-за соответствующей ситуации напряженности. Следует помнить, что оценку губ следует проводить до введения местных анестетиков, полностью искажающих мимику.

Губы должны согласованно двигаться и быть параллельными межзрачковой линии (рис.2).

Тонус губ может значительно снижаться, что нарушает их подвижность (рис. 3а и 3b). Нередко встречается птоз губ вследствие неврологических заболеваний. Иногда пациенты психологически намеренно ограничивают подвижность губ для маскировки непривлекательных ресавраций. Независимо от причины любая неравномерность тонуса левой и правой половин губы приводит к разной степени визуализации зубов, что следует отмечать в Карте пациента. В таких случаях губы не могут служить надежным эстетическим ориентиром.
Если межзрачковая линия параллельна линии горизонта, то первую можно использовать в качестве ориентира для оценки плоскости режущего края, окклюзионной плоскости и десневого контура.
Даже у одного человека при мимике можно обнаружить значительное разнообразие визуализации верхних и нижних зубов. Например, при улыбке зубы верхней челюсти могут быть более заметны, тогда как во время речи в большей степени могут обнажаться нижние зубы (рис. 4а -4d).
Эту особенность необходимо учитывать, если план лечения предусматривает реставрацию зубов нижней челюсти. При оценке эстетических параметров стоматологи зачастую концентрируют свое внимание только на внешнем виде переднего отдела верхней челюсти, недооценивая значение нижних зубов.
.

■ Практическое применение
Многие люди улыбаются скованно, чтобы скрыть некрасивые реставрации, измененные в цвете зубы или другие дефекты зубов (рис. 5а – 5с). Восстановление привлекательного внешнего вида возвращает возможность непринужденно улыбаться, что позволяет мимическим мышцам восстановить естественные движения (рис. 5d – 5h). Для ускорения этого процесса можно проводить специальные упражнения, разработанные Гибсоном (Gibson). Следует помнить, что эффективность таких упражнений зависит от продолжительности их использования.
.

3. Визуализация зубных рядов в состоянии покоя
При сомкнутых в максимальном межбугорковом положении зубах губы слегка соприкасаются между собой и режущая треть верхних резцов покрыта нижней гу6ой.
Если мышцы, удерживающие нижнюю челюсть, находятся в состоянии физиологического покоя, то зубные ряды не смыкаются, губы слегка разобщены, а режущая треть верхних резцов обнажена. Высота видимого участка составляет 1—5 мм в зависимости от высоты губ, пола и возраста пациента (рис. 7а, 7b, 7d и 7е).
По данным Vig и Brundo, в состоянии физиологического покоя резцы верхней челюсти обычно больше визуализируются у женщин, чем у мужчин (3,40 против 1,91 мм), а также у молодых людей по сравнению с людьми среднего возраста (3,37 против 1,26 мм).
Как указывают некоторые авторы, с возрастом видимая часть верхних резцов уменьшается как за счет стираемости режущего края, так и вследствие снижения тонуса мышц, окружающих полость рта, что приводит к прогрессирующему увеличению обнажения резцов нижней челюсти (рис. 7с, 7f и 7g).
Поэтому эти самые маленькие по размерам зубы, которые и в норме заметны при разговоре, играют решающую роль для эстетики, особенно у пожилых пациентов.
.




■ Практическое применение
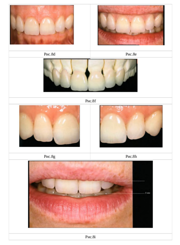
Восстановление, омоложение улыбки является одним из основных пожеланий пациентов, которым планируется ортопедическое лечение (рис.8а и 8b). Стоматолог должен объяснить, что помимо более светлого оттенка зубов, одним из основных условий выполнения поставленной задачи является увеличение объема видимой части верхних резцов, которые у пожилых пациентов зачастую визуализируются в меньшей степени вследствие описанных выше естественных причин.
Определение видимой в покое части резцов верхней челюсти является одним из ключевых аспектов определения необходимости коррекции длины зубов.
.


4. Режущий край
Определение положения режущего края по вертикали (контур режущего края) и в переднезаднем направлении (профиль режущего края) имеет большое значение для эстетического анализа. Правильное расположение режущего края в значительной степени влияет на выбор лечебных мероприятий и ортопедических конструкций.
4.1. Соотношение контура режущих краев верхних зубов с контуром нижней губы
Как правило, при улыбке, при взгляде спереди, линия режущих краев выпуклая и параллельна естественному вогнутому верхнему краю нижней губы.
Такая параллельность наблюдается в значительной части популяции, достигая 85%, по данным Tjan и Miller, и 75%, по данным Owens и соавт. Изгиб контура режущей плоскости может быть выражен в разной степени. У пациентов с соотношением зубных рядов I класса изгиб контура режущих краев может быть незначительным, а у пациентов с соотношением зубных рядов III класса режущий контур может быть довольно плоским. При соотношении зубных рядов II класса, когда высота центральных и боковых резцов значительно отличается, режущий контур может быть вогнутым. При этом боковые резцы обычно находятся на расстоянии 1 мм от линии, образованной режущими краями клыков и центральных резцов, придавая режущему контуру типичную форму крыла чайки.
4.2. Лучевая (радиальная) симметрия
Выпуклость контура режущих краев вместе с идеальными пропорциями зубов образует радиальную симметрию,25 которая тем более выражена, чем больше выступают центральные резцы по отношению к боковым. Радиальная симметрия ассоциируется с красивой улыбкой и в норме наблюдается у молодых людей.
Соотношение между двумя кривыми, проведенными по режущим краям передних зубов и контуру нижней губы, может отличаться у разных людей. Во многих случаях между режущим краем и нижней губой имеется некоторый зазор. Такое соотношение называется неконтактирующим
Конец ознакомительного фрагмента.
Текст предоставлен ООО «Литрес».
Прочитайте эту книгу целиком, купив полную легальную версию на Литрес.
Безопасно оплатить книгу можно банковской картой Visa, MasterCard, Maestro, со счета мобильного телефона, с платежного терминала, в салоне МТС или Связной, через PayPal, WebMoney, Яндекс.Деньги, QIWI Кошелек, бонусными картами или другим удобным Вам способом.
Вы ознакомились с фрагментом книги.
Для бесплатного чтения открыта только часть текста.
Приобретайте полный текст книги у нашего партнера:
Полная версия книги
Всего 10 форматов



